Унікальні клінічні випадки розширених резекцій трахеї при злоякісних новоутвореннях

Борисюк Б.О., Ганул В.А., Величко В.В., Борисюк Ю.В., Совенко В.М., Супрун Г.О.

Резюме. Первинні пухлини трахеї є рідкісною патологією та часто діагностуються на пізніх стадіях через неспецифічну клінічну симптоматику. Хірургічне лікування залишається єдиним радикальним методом терапії. Традиційно вважається, що безпечна протяжність резекції трахеї обмежується 4–6 трахеальними кільцями, однак сучасний розвиток хірургічних методик та анестезіологічного забезпечення дозволяє виконувати більш протяжні резекції без підвищення частоти ускладнень. У статті представлені 2 клінічні випадки розширених резекцій трахеї протяжністю 5 та 9 кілець у пацієнток із пухлинами злоякісного потенціалу, з добрими безпосередніми та віддаленими результатами лікування.

Одержано 20.01.2026
Прийнято до друку 11.02.2025

DOI: 10.32471/clinicaloncology.2663-466X.35547

ВСТУП

Первинні новоутворення трахеї становлять менше ніж 0,1% усіх злоякісних пухлин дихальної системи. Найпоширенішими гістологічними формами є плоскоклітинний рак та аденоїдно-кістозна карцинома, рідше трапляються пухлини нейрогенного походження. Клінічні прояви захворювання є неспецифічними та включають задишку, кашель, стридор, що часто призводить до тривалого симптоматичного лікування без встановлення правильного діагнозу [1–3].

Хірургічне лікування із виконанням циркулярної резекції трахеї та формуванням первинного анастомозу є методом вибору при локалізованих пухлинах. Одним із ключових обмежувальних факторів є допустима протяжність резекції, оскільки надмірне натягнення анастомозу асоціюється з високим ризиком його неспроможності. Водночас досвід спеціалізованих центрів свідчить про можливість безпечного виконання розширених резекцій за умови дотримання технічних принципів [4–6].

МЕТА РОБОТИ

Продемонструвати клінічні можливості та результати розширених резекцій трахеї на прикладі 2 клінічних випадків із протяжністю резекції 5 та 9 трахеальних кілець.

КЛІНІЧНИЙ ВИПАДОК № 1

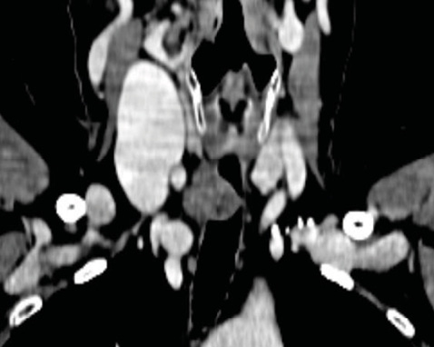
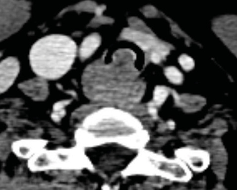
Пацієнтка віком 67 років була госпіталізована з клінічними проявами вираженої дихальної недостатності. Захворювання дебютувало гостро з прогресуючою задишкою. У районній лікарні виконано комп’ютерну томографію шиї та органів грудної клітки, за даними якої виявлено об’ємне новоутворення у верхній третині трахеї (рис. 1).

Рис. 1. Дані комп’ютерної томографії

Під час ендоскопічного обстеження встановлено, що пухлина бере початок від рівня першого трахеального кільця та перекриває просвіт трахеї на близько 90%. З огляду на загрозу асфіксії пацієнтці було виконано трахеостомію нижче рівня пухлини та взято біопсію. За результатами первинного гістологічного дослідження встановлено діагноз шванноми без ознак малігнізації. Для подальшого лікування пацієнтку спрямовано до відділення пухлин легень та середостіння Національного інституту раку.

З урахуванням локалізації та протяжності пухлинного ураження обрано хірургічну тактику лікування. Виконано циркулярну резекцію верхньої третини трахеї протяжністю 5 трахеальних кілець (з 1-го до 5-го) з формуванням анастомозу між перстнеподібним хрящем та 6-м кільцем трахеї. Анастомоз сформовано вузловими швами з використанням шовного матеріалу вікрил (рис. 2).

Рис. 2. Схематичне зображення анастомозу

Післяопераційний період: перебіг без ускладнень (рис. 3). За результатами післяопераційного імуногістохімічного дослідження встановлено діагноз шванноми трахеї з ознаками малігнізації. Пацієнтку виписано зі стаціонару на 10-ту добу в задовільному стані. За даними комп’ютерної томографії та ендоскопічного контролю протягом 3 років спостереження — ознак рецидиву або прогресування захворювання не виявлено.

Рис. 3. Дані ендоскопічного дослідження через 1 рік

КЛІНІЧНИЙ ВИПАДОК № 2

Пацієнтка віком 61 років звернулася зі скаргами на поступово прогресуючу задишку, сухий кашель та дискомфорт у ділянці дихальних шляхів. За результатами комп’ютерної томографії виявлено протяжне ураження трахеї. Ендоскопічне обстеження з біопсією підтвердило наявність аденоїдно-кістозної карциноми трахеї.

З урахуванням повільного, але інфільтративного характеру росту пухлини та її значної протяжності ухвалено рішення про радикальне хірургічне лікування. Виконано розширену циркулярну резекцію трахеї протяжністю 9 трахеальних кілець із формуванням первинного трахеотрахеального анастомозу. Досягнуто повної R0-резекції (рис. 4).

Рис. 4. Макроскопічний матеріал (протяжність резекції — 9 кілець)

Післяопераційний період: перебіг без клінічно значущих ускладнень. Пацієнтка перебувала під динамічним наглядом з регулярним ендоскопічним та променевим контролем. На момент останнього спостереження відмічено задовільну прохідність трахеї та відсутність ознак місцевого рецидиву.

Унікальність цього клінічного випадку полягає у протяжності резекції, що перевищує загальноприйняті межі, без розвитку анастомотичних ускладнень.

ОБГОВОРЕННЯ

Представлені клінічні випадки демонструють можливість безпечного виконання розширених резекцій трахеї за умови лікування у спеціалізованих центрах. Ключовими факторами успіху є ретельний передопераційний відбір пацієнтів, адекватне анестезіологічне забезпечення, точна хірургічна техніка та суворий післяопераційний контроль.

Особливої уваги заслуговує перший клінічний випадок, у якому остаточне гістологічне дослідження виявило ознаки малігнізації первинно доброякісної пухлини, що підтверджує доцільність радикального хірургічного підходу навіть за відсутності явних ознак злоякісності на етапі первинної діагностики.

ВИСНОВКИ

1. Розширені резекції трахеї протяжністю понад 6 трахеальних кілець є технічно можливими та безпечними у спеціалізованих хірургічних центрах.

2. Формування первинного трахеотрахеального анастомозу можливе навіть при резекції до 9 кілець трахеї.

3. Хірургічне лікування забезпечує чудові безпосередні та віддалені результати у пацієнтів із пухлинами трахеї злоякісного потенціалу.

СПИСОК ВИКОРИСТАНОЇ ЛІТЕРАТУРИ

1. Grillo, H. C. (2004). Surgery of the trachea and bronchi. Hamilton: BC Decker. Retrieved from pubmed.ncbi.nlm.nih.gov/3308349.

2. Macchiarini, P. (2006). Primary tracheal tumours. Lancet Oncology, 7(1), 83–91. doi: 10.1016/S1470-2045(05)70541-6.

3. Regnard, J. F. (1996). Resection and reconstruction for tumors of the trachea: long-term outcome. Annals of Thoracic Surgery, 61, 1475–1480.

4. Madariaga, M. L. L., & Gaissert, H. A. (2018). Overview of malignant tracheal tumors. Annals of Cardiothoracic Surgery, 7(2), 244–254. doi: 10.21037/acs.2018.03.04.

5. Schweiger, T., & Hoetzenecker, K. (2025). Management of primary tracheal tumors. Thoracic surgery clinics, 35(1), 83–90. doi: 10.1016/j.thorsurg.2024.09.008.

6. Bibas, B. J., Cremonese, M. R., D’Ambrosio, P. D., de Rezende, A. C., Favareto, S. L., Pap-Rubi, A. C., … Terra, R. M. (2025). Diagnosis and multimodality treatment of primary malignant tracheal tumors. Translational Cancer Research, 14(6), 3833–3845. doi: 10.21037/tcr-2025-318.

Адреса для листування:
Ганул Владислав Андрійович
03022, Київ, вул. Здановської Юлії, 33/43
Державне некомерційне підприємство «Національний інститут раку»
E-mail: vladyslav.hanul@unci.org.ua

Correspondence:
Vladyslav Hanul
33/43 Yulii Zdanovskoi str., Kyiv, 03022
Nonprofit Organization National Cancer Institute
E-mail: vladyslav.hanul@unci.org.ua

Підпишіться на нас у соціальних мережах:
Коментарів немає » Додати свій
Leave a comment